“이런 두통은 응급실로!” 응급의학과 의사가 알려주는 두통원인, 위험한두통 7가지 신호

“이런 두통은 응급실로!” 응급의학과 의사가 알려주는 두통원인, 위험한두통 7가지 신호

벼락치는 두통을 겪고 약을먹을지 병원에 갈지 고민하는 중년여성의 이미지

안녕하세요. 응급의학과 전문의가 전해주는 알기쉬운 생활의학정보, 닥터리빙입니다.
응급실에 있다 보면 두통으로 오시는 분들이 정말 많아요. “하루 종일 띵해요”, “눈 뒤가 쑤셔요”, “갑자기 번개 맞은 것 같았어요”처럼 느낌도 천차만별이죠. 대부분은 집에서 잘 돌보면 지나가지만, 아주 가끔은 바로 확인이 필요한 ‘위험한두통’도 있습니다. 오늘은 어렵지 않게 다양한 두통원인부터, 바로 응급실로 가야하는 위험한두통까지 딱 필요한 만큼만 정리해 드릴게요.

다양한 두통의 종류와 원인을 나타내는 4컷만화
  • 긴장성 두통: 머리를 띵하게 조이는 느낌. 목·어깨가 뻣뻣할 때 같이 와요. 쉬고 스트레칭하고 물 잘 마시면 좋아지는 경우 많아요.
  • 편두통: 한쪽이 욱신욱신, 움직이면 더 아픈 박동성 통증. 속이 메스껍고 빛·소리에 예민해지기도 해요. 조용하고 어두운 곳에서 쉬고, 초기에 진통제를 제대로 먹는 게 포인트.
  • 목에서 시작하는 두통: 뒷목 뻐근함이 머리로 퍼지는 타입. 자세와 관련 있는 경우가 많아요. 앉는 자세를 고치고, 목 스트레칭·가벼운 운동이 도움 됩니다.
  • 부비동(콧속)·치아·눈 문제: 얼굴을 누르면 아프거나 콧물이 심하고, 치통·안압 문제 등에서 두통이 올 수 있어요. 원인을 치료하면 두통도 좋아집니다.
  • 생활 요인: 탈수, 과로, 수면 부족, 카페인 끊었을 때, 특정 음식 등도 두통을 부릅니다.
심한두통의 원인을 나타내는 만화이미지
이런 두통/증상이면왜 위험할 수 있나
갑자기 번개처럼 시작한 “인생 최악”의 통증뇌 속 출혈 같은 급성 문제 가능
말이 꼬임, 한쪽 힘 빠짐, 시야가 둘로 보임뇌졸중 같은 신경계 이상 신호
38도 이상 열 + 목이 뻣뻣하거나 붉은 발진뇌수막염 같은 심각한 감염
최근 머리를 부딪힘, 혈전예방약/피 묽게 하는 약 복용 중머리 속 피멍(혈종) 가능
임신 막달·산후에 새로 생긴 심한 두통, 시야 번쩍임임신성 고혈압 문제 가능
50세 이후 처음 생긴 새로운 두통혈관·염증성 질환 감별 필요
암 치료 중이거나 면역이 약한데 새 두통감염·전이 확인 필요
아침에 심하고 토하며 점점 잦아지는 두통머리 속 압력 상승 신호
핵심 근거 · 번개형·최악의 시작 두통은 즉시 평가 대상. 첫 6시간 비조영 CT가 가장 민감하며, 음성인데 의심 높으면 추가 검사를 고려. (AHA/ASA SAH 가이드) 근거보기

응급실에 오시면 먼저 “위험한 두통인지”부터 가려냅니다. 혈압·맥박·체온·산소포화도 같은 기본 활력징후를 확인하고, 동공·시야·말하기·팔·다리 힘·보행 등 신경학적 검사를 해요. 필요하면 혈당과 임신반응(가임기), 기본 혈액검사(염증 수치, 빈혈·전해질), 50세 이상에서는 측두동맥염이 의심될 때 염증수치(ESR/CRP)를 볼 수 있습니다.

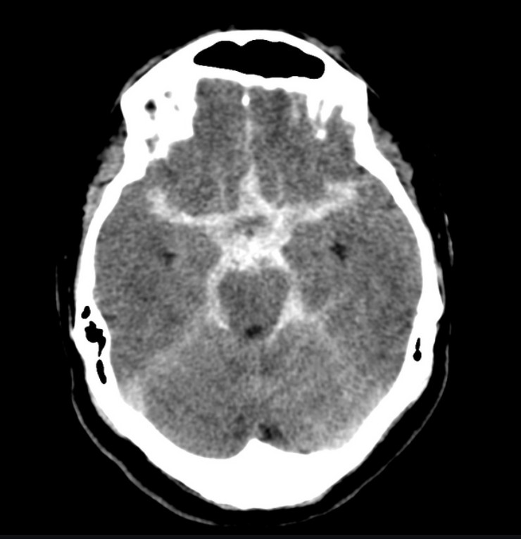
SAH의 brain CT 이미지
뇌지주막하출혈 – 출처 https://radiopaedia.org/
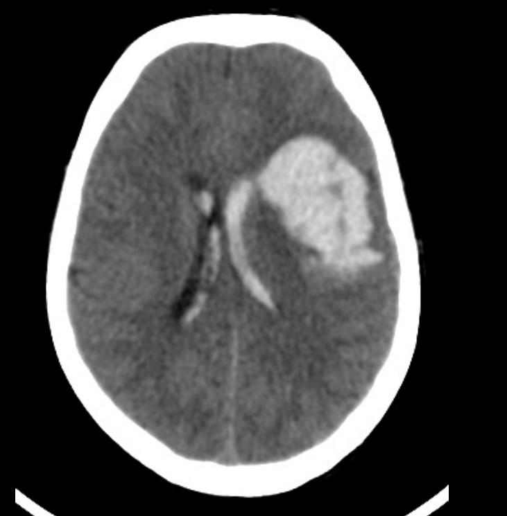
ICH의 brain CT 이미지
뇌내출혈 – 출처 https://radiopaedia.org/

영상검사는 상황에 따라 달라요. 번개처럼 갑자기 시작했거나 신경학적 이상이 있으면 머리 CT를 우선 고려하고, 필요 시 MRI로 정밀 평가를 합니다. CT가 정상인데도 뇌출혈이 강하게 의심되면 추가 검사가 이어질 수 있어요. 뇌수막염이 의심되면 의사 판단하에 허리 천자(척수액 검사)를 진행하기도 합니다. 부비동염·눈 질환·목 문제 등이 의심되면 그 부위 위주로 검사(부비동 CT, 안압 측정, 경추 X선/초음파 등)를 선택적으로 합니다.

치료는 원인과 중증도에 맞춥니다. 수액, 진통제(아세트아미노펜·NSAID), 항구토제를 기본으로 쓰고, 편두통은 트립탄·항구토제의 조합, 군발두통은 고농도 산소나 전문 치료를 사용해요. 목에서 시작하는 두통은 근육이완·물리치료 처방이 도움이 됩니다. 감염이 의심되면 항생제/항바이러스제, 임신성 고혈압 문제나 고혈압 위기라면 혈압 조절, 측두동맥염이 의심되면 스테로이드를 신속히 시작합니다.

결과가 안정적이면 귀가 후 주의사항과 재내원 기준을 설명드리고, 필요 시 신경과·이비인후과·재활의학과 등과 연계해 드려요.

소파에 편히 누워서 알약을 먹으면서 두통을 대처하는 모습
  • 조용하고 어두운 곳에서 잠깐 누워 쉬기, 물 자주 조금씩 마시기
  • 초기에 진통제 표준 용량으로 딱 한 번 제대로 복용(예: 아세트아미노펜, 이부프로펜). 여러 약을 뒤섞거나 자주 반복 복용은 오히려 역효과
  • 오후 늦게 카페인 과다 섭취는 피하기
  • 목·어깨가 뻐근하면 자세를 바로잡고, 짧은 스트레칭과 온찜질
  • 두통일지 만들기: 잠·스트레스·생리 주기·음식·카페인 등과 통증 세기를 간단히 기록하면 패턴이 보여요
핵심 근거 · 일반적 두통 관리는 생활교정+초기 진통제 원칙. 긴장성·편두통·군발두통은 특징으로 구분하고 과다검사는 줄이며, 약물과용두통을 예방. (NICE 가이드) 근거보기
  • 번개처럼 갑자기 시작한 최악의 두통
  • 의식이 흐려지거나 말·시야·팔·다리 힘에 이상이 동반될 때
  • 고열과 목 경직, 발진, 경련이 있을 때
  • 머리를 다친 뒤 생긴 두통(특히 피 묽게 하는 약을 드시는 분)
  • 임신 말기·산후에 새로 생긴 심한 두통
  • 통증이 점점 더 잦고 세지며 아침에 특히 심하고 토할 때
  • 진통제에 반응이 없고 일상생활이 무너질 정도로 아플 때

두통은 대부분 치명적이지 않지만, “평소와 다른 패턴”과 “갑작스럽고 심한 시작”은 놓치면 안 됩니다. 내 몸의 신호를 기록해두면 불안은 줄고, 꼭 필요한 순간엔 빠르게 움직일 수 있어요. 오늘 내용으로 불필요한 걱정은 덜고, 위험 신호는 정확히 챙겨가시길 바랍니다. 그럼 안전한 하루 되세요.

의학 근거 · 참고문헌 열기 (10)
  1. Hoh BL, et al. 2023 Guideline for the Management of Patients With Aneurysmal Subarachnoid Hemorrhage. Stroke. 2023. (미국심장협회/뇌졸중협회 가이드) 원문
  2. Mark DG, et al. Shifts in Diagnostic Testing for Headache in the ED; CT-first within 6 hours for suspected SAH. JAMA Netw Open. 2024. 요지
  3. Do TP, et al. Red and orange flags for secondary headaches (SNNOOP10). J Headache Pain. 2019. 원문
  4. AAFP. Acute Headache in Adults: A Diagnostic Approach (SNNOOP10 임상 적용). 2022. 가이드
  5. NICE CG150. Headaches in over 12s: diagnosis and management (2025 업데이트 버전). 개요 · 권고
  6. International Headache Society. ICHD-3 분류 체계. 링크
  7. American Headache Society. Acute treatment for migraine (요약 리소스). 링크
  8. BMJ. Assessment and investigation of thunderclap headache. 2025. PDF
  9. European Academy of Neurology. Cluster Headache Guideline. 2023. 요약 · PDF
  10. StatPearls. Thunderclap Headache; Cluster Headache(산소요법 등). 2023. TCH · Cluster

의료 정보 안내

본 블로그의 내용은 일반 의학 정보 제공을 목적으로 하며, 개인의 진단·치료·의료행위를 대체하지 않습니다. 증상이 있거나 치료가 필요한 경우 반드시 의료진과 상담하십시오.
흉통, 호흡곤란, 반복되는 실신/의식저하, 심한 출혈 등 응급 증상은 즉시 119 또는 가까운 응급실을 이용하십시오.

저자 정보

작성자
닥터리빙
소속/직함
공공의료원 지역응급의료센터 응급의학과 진료과장
자격
응급의학과 전문의
운영
의학 블로그 ‘닥터리빙’
문의
dung5507@naver.com

본 글은 최신 가이드라인과 신뢰 가능한 문헌을 바탕으로 작성되며, 필요한 경우 본문 하단에 출처를 표기합니다.

Subscribe
Notify of
guest
0 Comments
Oldest
Newest Most Voted
Inline Feedbacks
View all comments
위로 스크롤